


|
||||||||||||||||||||||||||||||||
|
安心のインプラント保証制度について アップル歯科では、患者さまに安心してインプラントの治療を受けていただけるように、インプラント治療後に最長で10年間の無償保証制度を設けております。 患者さまの不注意や不慮の事故などを除き、治療後万一、埋入したインプラントに支障が生じた場合、責任を持って再治療をおこないます。 【保証対応条件について】 ※患者さまの不注意や不慮の事故などによる支障は対象外となります。 ※当院の指示にないメンテナンスや使用方法による支障は対象外となります。 ※当院指定のメンテナンスにお越しになられなかった場合やマウスガードを使用していない場合は対象外となります。 ※保証有効期間は、治療後最長10年間です。 なお、症例によってはこの限りではない場合もありますが、その際はきちんとご説明させていただきますので、保証内容の詳細に関しましては、お気軽にお問い合わせください。 |
|
インプラント治療は、医療費控除を受けることができます。 インプラント治療では、美容目的のホワイトニングなどとは違って医療費控除を受けることができます。 医療費控除とは、その年の1月1日から12月31日までの1年間に、ご自身とご自身と生計を共にする親族のために医療費として支払った額が10万円を超えた部分に対し、確定申告の際に所得控除を受けることができる制度です。 これにより所得税の還付または軽減となり、医療費の負担を軽くすることができます。 医療費控除の注意点 ※確定申告のための書類は、市町村役場や税務署にあります。 (国税庁のホームページで、印刷や作成することも可能です。) ※確定申告には、治療費の領収証が必要となります。 ※医療費控除額は、最高で200万円です。 (その年の総所得金額が200万円未満の人は、総所得金額等の5%が医療費控除の限度額となります。) ※医療費控除の対象となるのは、インプラントの費用だけではありません。 ●治療の為の通院費(自家用車で通院した時のガソリン代や駐車場代等は対象外) ●治療又は療養に必要な医薬品の購入代金 ※セルフメディケーション税制(医療費控除の特例)との併用はできません。 その他、詳しくは国税庁のホームページwww.nta.go.jpでご確認ください。 |

CAD/CAMとは |
CAD/CAMとはコンピュータ制御によって歯の修復物を設計・製作するシステムです。コンピュータを使って修復物を作製するので、歯型を取ることがありません。
最先端の3D光学カメラを使用して患部を撮影(スキャン)し、患部の歯列をモニター上に再現。そのあとはコンピュータの3D画面上にて修復物を設計し、ミリングマシンがデータをもとに作製します。
歯科技工所に依頼することなく歯科医院で修復物を作製できるので、一般的な修復物よりも経済的。また規格生産された高品質なセラミックブロックを使用するため耐久性が高く、治療時間も約1時間と非常にスピーディーです。
|
1.治療にかかる時間が短い!ほとんどの症例は約1時間で終わるほどスピーディー。1回の通院で修復物をセットできるため、通院の手間もありません。 2.高品質なセラミックブロックで作製されるから高耐久! 規格生産されたセラミックブロックを使用するため、とても高い耐久性を持ちます。15年後の残存率を調べた臨床研究によれば、通常の治療では約68%なのに対し、CAD/CAMの治療は約93%と非常に高い結果を出しています。 3.歯科技工所に依頼しないため経済的! CAD/CAMは修復物を歯科医院で作製するため、歯科技工所に依頼することがありません。人件費を削減できるため、比較的リーズナブルにご提供できるのです。 4.上質なセラミックを使っているからきれい! 金属ではなく上質なセラミックを使っているので、自然で美しい見た目を実現できます。もちろん金属アレルギーの心配もありません。 |
|
||||||||||||||||||||||||||||||||||||||||

![]() Computed Tomographyの略で、通常はX線を用いて生体の断層像を得るX線CTをさします。 「物体の内部構造は、その物体を複数の方向から投影して得られた情報から再構成することができる」という基本原理に基づいている。 実際には生体のある断面に多方向から幅の狭いX線ビームを曝射(ばくしゃ)し、 透過したX線を検出してその断面内でのX線の吸収の度合いの空間分布をコンピュータで計算し画像化している。 人体の最初のCT画像は1972年にイギリス放射線学会でハウンズフィールドGodfrey N. Hounsfield(1979年ノーベル医学生理学賞受賞)により、 computerized axial transverse scanningという名称で発表された。それ以来、X線によるスキャン方法と検出系さらに画像再構成技術の開発進歩により、 空間分解能と濃度分解能に加え時間分解能にも優れた断層撮影法として、CTは全身の画像診断に革命的な進歩をもたらしています。 |
![]() インプラントの治療には正確な距離計測が必要となります。 CT撮影により正確な距離を計測します。 |
![]() 三次元構築し、全体を把握します。 |
![]() 個々の部位の計測を行い、各部位を精確に診断していきます。 |
![]() 最先端技術であるインプラントおよび歯科矯正治療を行うためにCTは必要不可欠です。 |

|
![]() |
| インプラント治療の流れをご説明します。 | ||||||||
|
||||||||
|
||||||||
|
||||||||
|
||||||||
|
||||||||
|
||||||||
![]() インプラントの全貌 こちらを埋入していきます。 1次ope、2次opeに分かれています。 1次opeはインプラント埋入ope、2次opeは歯肉の状態をきれいにするために行うopeです。 |
![]() 2次ope終了時このまま3週間〜1ヶ月まちます。 |
![]() 2次opeがおわり、1ヶ月程たって歯肉の状態がよくなっています。 |
![]() ラボアナログとよばれる器具をつかい歯の型をとっていきます。 技工士さんに型をわたし、上部構造の歯(オールセラミック)を作製します。 |
![]() 技工士によって作製された歯(オールセラミック)です。 |
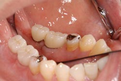
![]() お口のなかに歯が入ったところです。 この状態で食事をとることができるようになります。 |


お気軽にお問合わせください。